Korýši
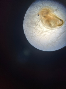
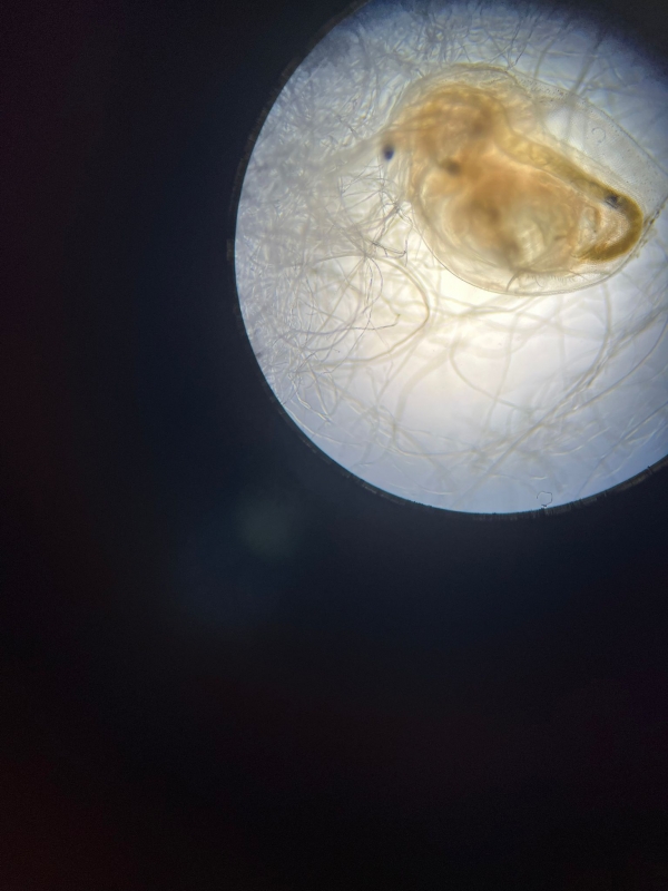
Dnes v semináři proběhlo opakování učiva o korýších. osobní setkání s buchankou, hrotnatkou, beruškou, blešivcem či krevetou.
Dnes v semináři proběhlo opakování učiva o korýších. osobní setkání s buchankou, hrotnatkou, beruškou, blešivcem či krevetou.